頭蓋骨の一部を失った韓国の元CAユーチューバー、悪質コメントにも笑顔でいられる理由とは

 頭蓋骨の左側40%を失った姿を公開して話題になったユーチューバーの「Woozakka」ことウ・ウンビンさんが「絶望に陥った人間にも希望はある」と励ましの言葉を口にした。

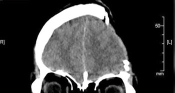
【写真】頭蓋骨除去手術を受ける前・受けた後のウ・ウンビンさん

 客室乗務員(CA)、銀行員、作家、講師として活動していたウさんは今月8日、韓国MBCの番組『心臓を鳴らせ 講演者たち』に出演し、自身について「名称失語症患者」と紹介。名称失語症とは、物や人の名前がなかなか出てこなかったり、覚えてもそれを口にすることができなかったりする言語障害だ。

 ウさんは今年1月27日の出来事について語った。CA志望者向けの講演に向かう途中に転倒して頭を強打し、その日の記憶を全て失ったのだという。

 脳出血と脳浮腫が見られ、左脳の95%が損傷した。左の耳と前頭葉の下に血があふれ、嗅覚と神経細胞も損傷した。手術の執刀医は家族に対し「生存確率は20-30%程度」と伝え「生きられたとしても30代女性としての健康な人生を送るのは難しいでしょう」と話した。それを聞いた家族は、とにかくウさんが生きてさえいてくれればいいと祈ったという。

 ウさんは一週間後に目を覚ましたが、母親と夫のことを認識できなかった。ウさんは「唾をごくりと飲み込んだら、脳が動くのが全部見えた。頭をナイフで切り裂かれ、ハンマーで殴られているような感じだった」と当時のことを振り返った。

 頭蓋骨の左部分を5分の2ほど除去する手術を受けたウさんは、左脳の損傷が原因で言語障害が残った。医師は家族に「また幼い子どもに戻ったと考えてください」と話したという。実際にそうだった。ウさんは「車」「サンドウィッチ」など幼児でも分かるような単語を口にすることができなかった。ウさんは「何か話したいのに話すことができない自分自身がとても嫌だった」「そんな自分を認めたくなかった」と話した。

 そうしているうちにウさんは、ふとあることが気になり始めた。「私のように頭蓋骨のない人はどうやって生きているんだろう?」。そのような人たちがしっかり生きている姿を見たら励まされるのではないかと期待したのだ。しかし、そんな人は1人も見つけられなかったという。

 ウさんは「皆、私のように陰に隠れているのだろうと思いました。それなら、私が最初に姿をさらけ出して、近づいていくことにしたんです」と話した。今年3月9日、事故に遭ってから初めてユーチューブに動画を投稿した。ウさんは「こうして私は韓国で初めて、頭蓋骨のない姿を公開した人になりました」と語った。

 応援してくれる人も多かったが、悪質なコメントもたくさん来たという。「吐きそう」「気持ち悪い」「食欲が失せる」「旦那さんがかわいそう」などと書き込まれた。ウさんは「悪質コメントのせいで不幸になることはありませんでした。私のように脳が損傷した方々に勇気と希望を与えられるという前向きなパワーを振りまきました」と話した。ウさんと似たような状況にある患者や家族から連絡があると、直接会うこともあった。

 ウさんはその後、頭蓋骨整形術の手術を受け、以前よりも左側のへこみ具合が解消されたという。ウさんは「どんな悪質コメントが来ても、つらく憂鬱なことがあっても、絶対に諦めないで」とした上で「私を見てください。こんなふうに皆さんの前で話していますよ」と言った。さらに「自分自身について、絶対に恥ずかしがったり隠れたりしないでほしい。私もこれから、良くなっていく様子を引き続きお見せしていきます」と話した。

イ・ガヨン記者

<記事、写真、画像の無断転載を禁じます。 Copyright (c) Chosunonline.com>
関連ニュース
関連フォト
1 / 1

left

  • ▲頭蓋骨の左側の除去手術を受けた後のウ・ウンビンさんのレントゲン写真。/MBC『心臓を鳴らせ 講演者たち』
  • 頭蓋骨の一部を失った韓国の元CAユーチューバー、悪質コメントにも笑顔でいられる理由とは

right

あわせて読みたい