ホーム
>
フォトニュース
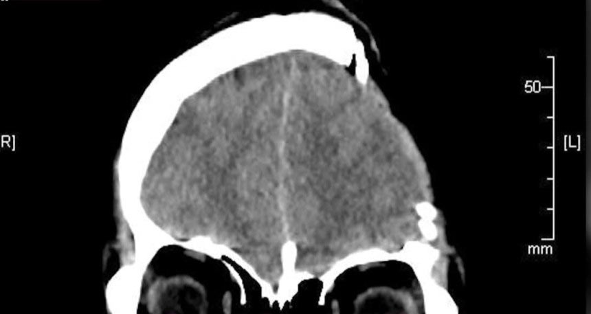
頭蓋骨の一部を失った韓国の元CAユーチューバー、悪質コメントにも笑顔でいられる理由とは(1/2)
2024/12/10 11:35
前の写真
このニュースを読む
次の写真
このニュースの写真
1
/ 1
<記事、写真、画像の無断転載を禁じます。 Copyright (c) The Chosun Ilbo & Chosunonline.com>
関連ニュース